消化器検査

HOME | 消化器検査


消化器検査

胃、大腸内視鏡検査

当院の内視鏡検査の特徴

 当院では、すべての検査を内視鏡専門医が行っております。胃内視鏡検査、大腸内視鏡検査、膵管、胆道内視鏡検査を行っております。観察だけではなく、切除などを含めて処置も必要に応じて行っております。当日に処置が可能な病変は患者さんの安全を確保したうえで、できる限りその日に行っております。
 検査査後当日に撮影した写真を用いて説明をさせていただきます。ポリープや潰瘍など見つかり精密検査のため組織採取をおこなった場合は、組織検査の結果に関しては約1週間後の外来での報告になります。
 すべての検査において希望により麻酔を行うことができます。麻酔をおこなった場合は病院にて検査後1から2時間は休んでいただいてから帰宅していただきます。
詳細はおたずねください。

当院の胃内視鏡検査の特徴

 オリンパス社製の最新内視鏡を用いることで、経鼻、経口からの内視鏡および拡大検査による精密内視鏡検査にも対応しています。これらにより早期に胃がん等を発見していきます。また、入院での処置にはなりますが早期胃がんの切除(ESD、EMR)も行っております。検査時間は通常検査で10分程度です。希望により麻酔を行い、寝ている間の検査も可能です。
予約検査が中心ですが、緊急時および医師の判断により当日の検査も行っております。

当院の大腸内視鏡検査の特徴

 オリンパス社製の最新内視鏡を用いることで、通常内視鏡および拡大検査による精密内視鏡検査にも対応しています。これらにより早期に大腸がん等を発見していきます。また、大腸ポリープや早期大腸がんの切除も行っております。検査時間は10-15分程度ですが、前処置として下剤の服用が必要であるため原則予約検査になります。緊急時は予約無しでも検査を行います。希望により麻酔を行い、寝ている間の検査も可能です。


消化器検査

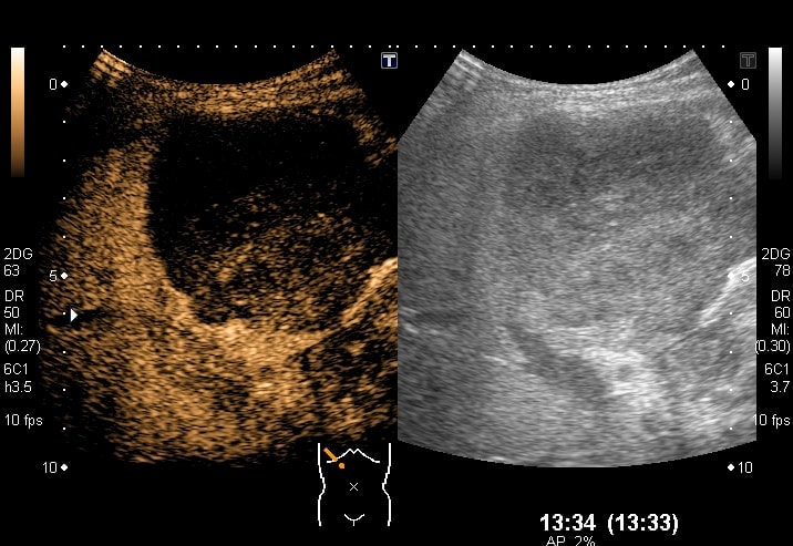
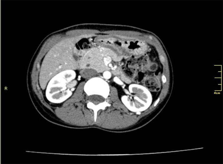
消化器CT、MRI、エコー検査

CT、MRI、エコー検査

 肝臓や膵臓などおなかの中の臓器を精密に検査する場合に行います。必要に応じて造影剤を使用することにより、がんが発見しやすくなります。予約なしでも行うことができますが、絶食が原則になります。
当院では16列CTにより被爆を抑えたCT検査および1.5Tの高磁場を用いた精密なMRIをもちいて検査を行っております。
消化器専門医が、結果について報告します。当院で可能な処置は迅速に行い、高次病院への紹介も行っております。
大腸CT検査は予約になります。
大腸CT検査詳細

MRI検査(胆管)

CT検査(膵臓)

エコー検査(肝臓)